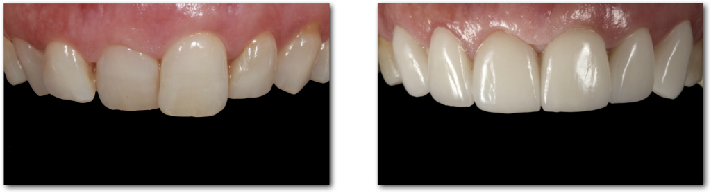
Smile Enhancement
Here at Blanc Dental Studio we offer smile enhancement. A custom approach to improve one’s smile because we know each person’s situation is unique. Whether if its one tooth to a complete full mouth rehabilitation, we have you covered at Blanc Dental Studio. Enhancing one’s smile is Dr Roxas’s speciality. Dr Roxas is a certified perio/fixed prosthodontist specializing in full mouth rehabilitation. He will determine a personalized custom approach needed to achieve the ideal, natural looking smile possible utilizing the most up to date techniques and materials available such as but not limited to:
- Teeth whitening
- Orthodontics
- Aesthetic crown lengthening
- Dental implants
- Gum grafting
- Veneers
- All white crowns and bridges
One of many smile enhancements performed by Dr Roxas:





